Smile Gallery
Here are some examples of my most recent work. I feel a picture is worth a thousand words!
Please feel free to click on the photos to enlarge.
-
Smile Reconstruction
Crowns and Porcelain Veneers were fabricated and cemented on the top and bottom teeth. Prior to smile reconstruction, the patient was not happy with the appearance of the worn, stained, discoloured and heavily restored teeth.
-
Smile Reconstruction
Years of excessive grinding and swishing Coca-Cola can cause significant wear and erosion. 12 crowns were fabricated and cemented to make a significant improvement in appearance. Crowns also were able to increase the length / height of the upper teeth due to the wear.
-
Smile Reconstruction
This new patient presented asking me to extract all remaining upper teeth. I did not feel that all teeth required extraction. We ended up only extracting 2 of the remaining upper teeth. Crowns and a partial upper denture transformed this patient and changed the smile forever.
-
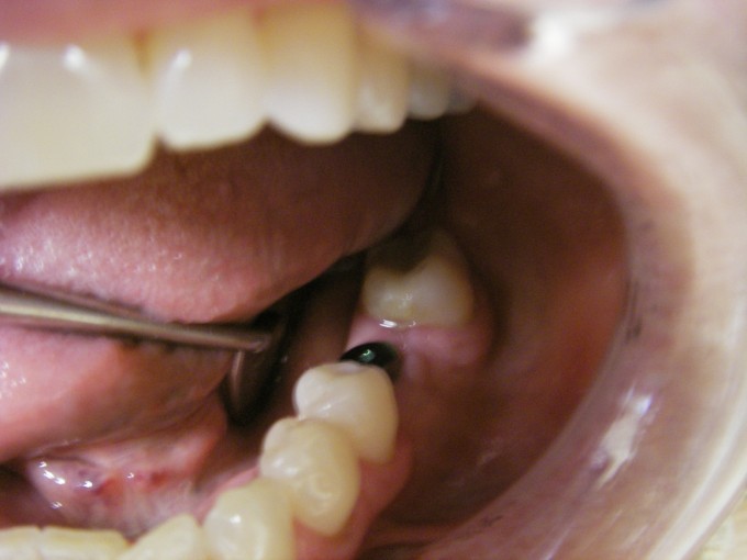
Implants
The titanium implant itself is below the gumline and fused to the bone already in this case. The metal substructure you see is the healing abutment. It is removed and an impression is made to then fabricate a tooth that fits the space to be replaced. In this case, the implant crown was screwed down to an abutment vs cemented.
-
Fixed Bridge
This patient required 2 fixed bridges to replace missing lateral teeth. The spaces were narrow. One further advantage of a fixed bridge is the ability to proportionate the teeth to make it look most natural.
-
Crowns
This young patient had previously had his front left tooth root canal treated. Over time it had discoloured. We were able to fabricate a crown to cover the discolouration. We even matched fluorosis staining present in his natural teeth to match within the crown.
-
Crowns
This patient had a previous crown on the front right tooth placed many years ago. Unfortunately the previous crown did not cover the entire discoloured root of the tooth. We removed the previous crown and extended the new crown length to cover the entire discoloured root.
-
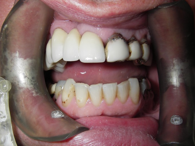
Crowns
We actually replaced the top six crowns for this patient. This before photo shows the front 3 crowns already replaced. On the left, this patient still has old, chipped, stained crowns done overseas. These crowns were removed and replaced with new, nicely contoured crowns.
-
Crowns
Hockey Accident - This individual was lucky in the sense that the nerve was not exposed. We were able to restore his front teeth with two crowns. It is almost impossible to tell which are crowns today.
-
Porcelain Veneers
This young female was not pleased with the `dead` looking appearance of her bonded two top front teeth. We fabricated 2 Porcelain Veneers. It is now virtually impossible to tell which are veneers!
-
Bonding
Multiple discoloured fillings were replaced and the shape of some the teeth were recontoured.
-
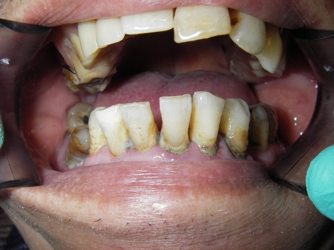
Cleaning (Scaling)
Calculus covers this patients teeth. They had not seen a dentist in greater than 15 years. After a couple of scaling appointments the teeth and gums tissue are in a much healthier state.
-
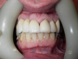
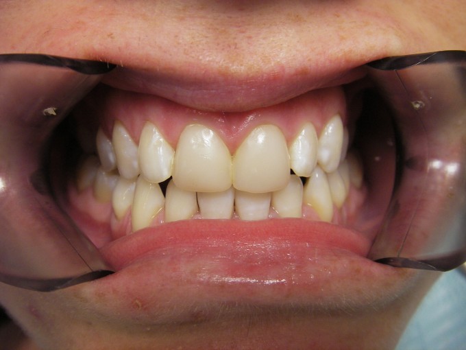
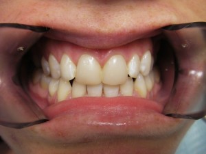
Smile Reconstruction
Crowns and Porcelain Veneers were fabricated and cemented on the top and bottom teeth. Prior to smile reconstruction, the patient was not happy with the appearance of the worn, stained, discoloured and heavily restored teeth.
-
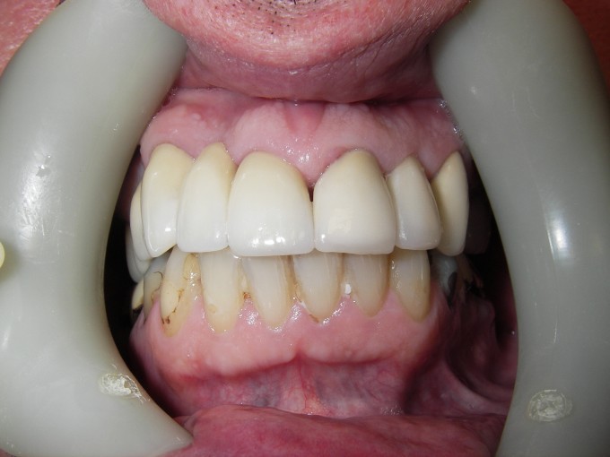
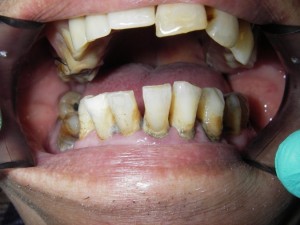
Smile Reconstruction
Years of excessive grinding and swishing Coca-Cola can cause significant wear and erosion. 12 crowns were fabricated and cemented to make a significant improvement in appearance. Crowns also were able to increase the length / height of the upper teeth due to the wear.
-
Smile Reconstruction
This new patient presented asking me to extract all remaining upper teeth. I did not feel that all teeth required extraction. We ended up only extracting 2 of the remaining upper teeth. Crowns and a partial upper denture transformed this patient and changed the smile forever.
-
Implants
The titanium implant itself is below the gumline and fused to the bone already in this case. The metal substructure you see is the healing abutment. It is removed and an impression is made to then fabricate a tooth that fits the space to be replaced. In this case, the implant crown was screwed down to an abutment vs cemented.
-
Fixed Bridge
This patient required 2 fixed bridges to replace missing lateral teeth. The spaces were narrow. One further advantage of a fixed bridge is the ability to proportionate the teeth to make it look most natural.
-
Crowns
This young patient had previously had his front left tooth root canal treated. Over time it had discoloured. We were able to fabricate a crown to cover the discolouration. We even matched fluorosis staining present in his natural teeth to match within the crown.
-
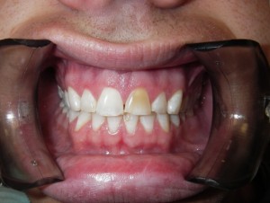
Crowns
This patient had a previous crown on the front right tooth placed many years ago. Unfortunately the previous crown did not cover the entire discoloured root of the tooth. We removed the previous crown and extended the new crown length to cover the entire discoloured root.
-
Crowns
We actually replaced the top six crowns for this patient. This before photo shows the front 3 crowns already replaced. On the left, this patient still has old, chipped, stained crowns done overseas. These crowns were removed and replaced with new, nicely contoured crowns.
-
Crowns
Hockey Accident - This individual was lucky in the sense that the nerve was not exposed. We were able to restore his front teeth with two crowns. It is almost impossible to tell which are crowns today.
-
Porcelain Veneers
This young female was not pleased with the `dead` looking appearance of her bonded two top front teeth. We fabricated 2 Porcelain Veneers. It is now virtually impossible to tell which are veneers!
-
Bonding
Multiple discoloured fillings were replaced and the shape of some the teeth were recontoured.
-
Cleaning (Scaling)
Calculus covers this patients teeth. They had not seen a dentist in greater than 15 years. After a couple of scaling appointments the teeth and gums tissue are in a much healthier state.
